
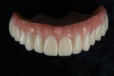
Что такое полевошпатные виниры?
Полевошпатовые виниры, изготовленные из минерального полевого шпата, являются популярным выбором в традиционной стоматологической технологии. Этот материал измельчается в мелкий порошок и превращается в стеклоподобную керамику опытными китайскими стоматологами-керамистами. Каждый винир изготавливается вручную сертифицированным зубным техником с использованием тонких слоев полевошпатовой смолы, обжигается до совершенства и контурируется для достижения полупрозрачного и естественного вида. Эти виниры являются визитной карточкой высококачественных зуботехнических лабораторий, особенно китайской стоматологической лаборатории ADS.
Полевошпатные виниры — лучший выбор для улучшения внешнего вида зубов. Изготовленные в сертифицированных стоматологических лабораториях Шэньчжэня ADS, эти виниры обладают многочисленными преимуществами:

01
Естественный внешний вид
Виниры из фельдшпата изготавливаются по индивидуальному заказу и идеально сочетаются с естественными зубами, обеспечивая реалистичную улыбку. Их полупрозрачность имитирует внешний вид натуральной эмали, что делает их практически незаметными.
02
Минимальная подготовка зубов
В отличие от виниров E-max, полевошпатовые виниры практически не требуют удаления эмали, сохраняя естественную структуру зуба. Зубные виниры, не требующие подготовки, являются ключевой особенностью нашей стоматологической лаборатории в Китае.
03
Долговечность
Хотя полевошпатовый шпон тонкий (всего 0,3 мм), он может прослужить до 10 и более лет при правильном склеивании.
04
Экономическая эффективность
Стоматологическая лаборатория ADS в Китае гарантирует наличие полевошпатовых виниров по разумным ценам, что делает стоматологические решения премиум-класса доступными для всех.
Кому подходят полевошпатовые виниры?

Пациенты, нуждающиеся в установке виниров без препарирования.
Зубы с большей частью неповрежденной эмали.
Незначительные дефекты, такие как неравномерное расстояние, изменение цвета или небольшие деформации.
Люди с высокими эстетическими требованиями.
Почему выбирают нас?
Мы ищем партнера для сотрудничества для расширения нашего бизнеса.
Глобальные логистические решения
Наше партнерство с FedEx, UPS, DHL и LINEX обеспечивает быструю и безопасную доставку по всему миру.
Экспертиза стоматологической лаборатории Шэньчжэня
Мы являемся ведущей зуботехнической лабораторией в Китае, в которой работают более 400 сертифицированных зубных техников, специализирующихся на установке виниров и других стоматологических решениях премиум-класса. Наша команда имеет многолетний опыт работы в области традиционных и передовых стоматологических технологий.
Выделенная поддержка клиентов
Более 40 обученных представителей обеспечивают бесперебойную связь и 363-дневную онлайн-поддержку.
Быстрые сроки выполнения работ
Простое дело, включая логистику, можно выполнить всего за 7 дней.
Комплексная гарантия
На все наши полевошпатовые виниры предоставляется долгосрочная гарантия, что отражает нашу приверженность высококачественным стандартам зуботехнических лабораторий в Китае.
Сертифицированная стоматологическая продукция
Наш шпон соответствует международным сертификатам, таким как CE, FDA и ISO, что обеспечивает безопасность, надежность и первоклассные характеристики.
Часто задаваемые вопросы
В нашей стоматологической лаборатории ADS в Китае мы сочетаем современное мастерство с традиционными стоматологическими технологиями, чтобы предоставить высококачественные решения для зуботехнических лабораторий. Свяжитесь с нами сегодня, чтобы получить услуги зуботехнической лаборатории по разумной цене и оценить превосходство ведущей стоматологической лаборатории Шэньчжэня по изготовлению виниров.
В чем разница между винирами E-max и винирами из полевого шпата?
+
-
Виниры E-Max, изготовленные из дисиликата лития, известны своей прочностью и долговечностью. Однако полевошпатовые виниры, изготовленные в стоматологических лабораториях Шэньчжэня, позволяют более индивидуально подходить к форме и цвету. Их часто предпочитают для достижения естественного, индивидуального внешнего вида.
Насколько тонкие виниры из полевошпатного покрытия?
+
-
Полевошпатовые виниры могут иметь толщину 0,3 мм и требуют минимальной подготовки зубов.
Делатьэс полевошпатовыйВиниры требуют подготовки зубов?
+
-
Очень тонкие виниры из полевошпата можно изготовить без небольшой подготовки зубов.
Они похожи на естественные зубы?
+
-
Да, полевошпатовые виниры тщательно разработаны, чтобы имитировать цвет, размер и форму ваших естественных зубов, создавая безупречную и органичную улыбку.
Как долго они длятся?
+
-
При правильном уходе виниры из полевошпата могут прослужить десятилетия. Регулярная чистка зубов щеткой, зубной нитью и отказ от твердой пищи обеспечат их долголетие.
горячая этикетка : полевошпатовый шпон, Китай полевошпатовый шпон производители, поставщики, завод
